专注动物矿物元素营养与健康

关注公众号 关注视频号

联系电话400-027-1997

联系电话19183816468

j9官网-新闻中心

热搜关键词: 蛋鸡饲料添加剂厂家 生物饲料添加剂 添加剂饲料 饲料添加剂厂家

颠覆常规,减量增效,j9官网开启新型氧化锌应用新时代

来源:j9官网微营养 | 发布日期:2017-01-05

  颠覆常规,减量增效。有机微量元素厂家j9官网开启新型氧化锌应用新时代!

氧化锌在养猪上的应用

  新型氧化锌应用新时代

  仔猪断奶时由于肠道免疫系统未发育成熟,一些病原菌,如产肠毒素大肠杆菌会趁机入侵、定殖并繁殖,并且断奶时仔猪肠道微生物菌群和数量也会发生变化,这是常见的断奶易引发腹泻的重要原因。

  Poulsen(1989)首次提出在断奶仔猪饲料中添加药理剂量的氧化锌可降低断奶后的腹泻率。之后的应用实践也证实,氧化锌针对肠道致病性细菌引发的仔猪腹泻具有高效性和经济性。Vet(1999)在断奶仔猪饲料中添加高剂量氧化锌(2400mg/kg Zn)能够显著降低大肠杆菌引发的腹泻,且增加了粪便中大肠杆菌数量。陈艳珍等(2001)在断奶仔猪日粮中添加3000mg/kg氧化锌,日增重较对照组提高20.5%。然而在数十载的应用中,传统氧化锌的添加剂量(3000 mg/kg氧化锌)带来高效益的同时也存诸多方面的负效应。如,高剂量氧化锌的吸收率很低(郑家茂 等,2000),大部分随粪便排泄到环境中,造成环境污染(常志州等,2003),且超期限使用氧化锌,影响仔猪后期的生长发育。因此,急需寻求一种环保、安全、高效的锌源替代普通氧化锌。本文就不同氧化锌应用现状做一简要综述。

  本文就水生动物对微量元素的需要量的研究进展综述如下。

  1、高剂量氧化锌的副作用

  1.1 环境污染

  由于部分厂家的氧化锌质量控制不严格,镉、砷、铅等重金属超标,若添加到仔猪饲料中,不仅容易引起生猪重金属中毒,同时带有重金属的排泄物会造成土壤和水质的污染。当日粮锌浓度不超过150mg/kg时,通过猪粪富集到土壤中的锌每年不会超过3000ug/kg干物质。每吨饲料中氧化锌添加量达到3000mg/kg时,仔猪排泄物中增加30%的锌含量,这无疑增加了猪场粪污处理成本以及环境消耗的负担。

  1.2 微量元素之间的拮抗作用

  王希春等(2009)在断奶仔猪日粮中添加3000mg/kg氧化锌后,仔猪体内铜含量降低,同时粪便中锌和铜的含量增加。高剂量的氧化锌会导致生猪机体产生过量的金属硫蛋白,在肠道内可与Cu2+结合,可能导致仔猪肠道铜缺乏。

  此外,高剂量锌对铁的影响十分明显。Perri等(2015)研究发现,断奶仔猪日粮中添加高剂量氧化锌(3000mg/kg)导致仔猪体内铁缺乏,出现缺铁性贫血,甚至影响断奶后3周的生长速率。在人类上的研究也发现,高锌降低机体对铁的吸收,然而铁含量增加反而促进了锌的吸收(Iyengar等,2009)。高锌干扰铁吸收的机制可能与二价金属转运蛋白(DMT1)有关。DMT1是动物肠道内转运二价金属离子的载体蛋白。研究发现,仔猪肠道内的DMT1不能同时转运锌和铁,在铁与锌共同存在时对锌的转运更具有优势(Espinoza等,2012)。

  1.3 对肠道有益菌的抑制效果

  最新研究提出了药理剂量氧化锌(3000mg/kg)会显著影响断奶仔猪肠道微生物的新观点(AgatheRoméo等,2016)。体内模拟试验发现高剂量的氧化锌会抑制断奶仔猪胃和空肠食糜中微生物的生长,与其他微生物相比,乳酸菌更容易受高剂量氧化锌的影响。给仔猪饲喂含3000mg/kg氧化锌的日粮后,仔猪肠道菌群的多样性增加,但是肠杆菌科、埃希氏杆菌属和乳酸菌的数量会下降(图1)。

药用剂量氧化锌对断奶仔猪肠道微生物分布的影响

图1 药用剂量氧化锌对断奶仔猪肠道微生物分布的影响

  大量研究表明,高剂量氧化锌给养殖业带来的效益是肯定的,同时产生的负效应亦不可小觑。因此,如何在不降低氧化锌抗腹泻的效率前提下,最大限度消除氧化锌副作用无疑成为国内外饲料行业研究的重要课题。

  2、不同氧化锌应用研究现状

  2.1 纳米氧化锌

  纳米材料一般是指在三维空间中,至少有一维处于纳米尺度(1-100nm),或由其作为基本单元构成的材料。一般情况下,材料的比表面积与其粒径成反比,纳米氧化锌具有粒径较小、比表面积较大的特点,首先成为研究热点。

  纳米氧化锌在仔猪上的应用效果国内研究报道较多。方洛云等(2004)报道300mg/kg纳米氧化锌与3000mg/kg普通氧化锌均可提高日增重与日采食量、降低料重比。与3000mg/kg普通氧化锌相比,300mg/kg纳米氧化锌还可提高十二指肠内容物与胰腺淀粉酶活性(P<0.05)、增加小肠绒毛高度与粘膜厚度(P<0.05)。胡彩虹等(2012)报道500mgZn/kg纳米氧化锌与2000mg Zn/kg普通氧化锌均可提高日增重与日采食量、降低腹泻指数与血浆D-乳酸浓度、二胺氧化酶活性。

  然而,国外研究主要关注纳米氧化锌经呼吸道与消化道的毒性作用。Pasupuleti等(2012)报道SD大鼠口服5mg/kgBW的纳米氧化锌(20nm)即可引起血清谷草转氨酶与谷丙转氨酶升高、凝血时间延长以及肝、胰、心与胃的损伤。Hackenberg等(2011)研究发现0.1μg/ml 纳米氧化锌(<100nm)处理3D培养分离得到的人鼻粘膜细胞,发现纳米氧化锌进入细胞质与细胞核,造成细胞毒性、细胞凋亡与持续DNA损伤。

氧化锌

  同时,纳米氧化锌标示指标常与实际情况差异较大,在一定浓度下常因团聚作用产生相似粒径的团聚体,使得抗菌活性较弱(Adams等,2006)。另外,纳米氧化锌的容重很低,在饲料加工中不易混合均匀。这些都是造成现有的纳米氧化锌研究结果不一致,在养殖生产实践中应用效果不佳的原因。现市售纳米氧化锌用于仔猪抗腹泻的推荐剂量范围在150-800mg/kg(以锌计),其使用效果亟待验证。

  2.2 包被氧化锌

  包被技术是一种成膜材料把固体或液体包覆起来,使其有效活性成分受到保护并且提升使用效果的新型技术。氧化锌发挥抗腹泻作用的有效形态是氧化锌本身,而不是Zn2+的作用。发挥作用的位点是在肠道,而在仔猪胃酸环境中氧化锌容易与胃酸发生反应生成氯化锌,使到达肠道的有效氧化锌数量大大减少。经过包被的氧化锌在胃酸环境下稳定,包衣不会打开,有效保护氧化锌不受胃酸侵蚀。在肠道内定点释放,降低了氧化锌的损失和环境的污染。饲粮中添加包被氧化锌还可以提高仔猪的生长性能,增强免疫功能及降低仔猪的腹泻率等作用。

  Case等(2002)研究在日粮中添加1500mg/kg氧化锌对仔猪生长性能有一定促进效果。包被氧化锌的适宜添加量可以提高仔猪的生长性能,且其适宜添加量大大低于普通氧化锌的添加量。申俊华等(2013)研究表明饲料中添加380mg/kg和570mg/kg包被氧化锌极显著地降低了断奶仔猪的腹泻指数,且与2250mg/kg普通氧化锌组差异不显著。马丽等(2012)研究结果显示,添加 100mg/kg的包被氧化锌对于断奶后2周的仔猪的抗腹泻作用与添加3000mg/kg普通氧化锌类似。

  包被氧化锌无疑是氧化锌发展的一个重要方向。然而,由于包被氧化锌的产品特点是定点肠溶,对包衣材料的要求非常高,现市场上包被氧化锌推荐剂量范围在400-800mg/kg,产品效果千差万别,在实际生产中尚很难稳定应用。包被氧化锌似乎展现更广阔的前景,但亟待解决的问题是工艺包被材料的选择。

  2.3 多孔氧化锌

  为了避免纳米氧化锌存在的效果不稳定与使用安全性等问题,研究者着手于在普通氧化锌的基础之上做表面修饰改良,以增大氧化锌的比表面积,达到更好的抗菌效果。

氧化锌养猪

  2.3.1 多孔氧化锌的应用

  Vahjen等(2012)对胃与空肠内容物中的细菌体外培养研究表明,在多孔氧化锌培养基中,胃样品细菌生长的延滞时间更长(P<0.05),而空肠样品没有变化(P>0.05),胃与空肠样品细菌生长降低的更快(P<0.05)。德国柏林大学兽医学院(J.Anim. Sci.2012.90:334–336)开展体外试验,发现低剂量(300g)的微孔型氧化锌对病原菌—大肠杆菌生长的具有显著的抑制作用。该试验使用的微孔状氧化锌(HiZox?)与常规氧化锌相比,最大得区别在于其比表面积比常规氧化锌大得多。给断奶仔猪饲喂含3000mg/kg常规氧化锌和150mg/kg的微孔状氧化锌日粮,结果表明,两种氧化锌都增强仔猪肠道健康状态,而且低剂量的微孔氧化锌在体增重改善上更具有优势(Morales等,2015)。近年,j9官网集团通过专利工艺对氧化锌物理化学特性进行了改造,比表面积比常规氧化锌增加6-10倍(≥30m2/g)。j9官网集团技术中心四川农业大学动物营养研究所开展联合试验,对比常规氧化锌和多孔氧化锌对断奶仔猪生长性能的改善,结果表明,与普通氧化锌相比,2000mg/kg剂量的多孔氧化锌可显著增加体增重和采食量,降低仔猪腹泻发病率(j9官网集团,2014)。

j9官网多孔氧化锌的应用

  2.3.2 多孔氧化锌抑制肠道细菌、改善肠道健康的机制

  氧化锌在动物肠道低pH值条件下会解离,然而在酸性极弱的仔猪消化道内氧化锌的解离十分有限。早期的观点认为氧化锌的抗菌活性来自肠道解离的Zn2+与微生物氨基酸基团互作,抑制主动转运。但事实并非如此。堪萨斯州立大学的研究表明:在两个具有大肠杆菌腹泻史的农场的断奶仔猪,饲喂3000mg/kg的氧化锌未出现腹泻,而饲用硫酸锌组则有大量腹泻(周小秋,1999)。最近的研究证实从氧化锌中解离的Zn2+对氧化锌抑大肠杆菌的贡献率仅有15%,氧化锌抗腹泻作用主要来自于氧化锌分子特性(ValérieKromm等,2016)。而且,Yamamoto(2001)研究表明,氧化锌抗菌效果与其表面积大小呈高度正相关,即氧化锌表面积越大,对细菌的抑制效果越好(图2)。

氧化锌抑菌效果与比表面积大小的关系图

图2 氧化锌抑菌效果与比表面积大小的关系

  氧化锌抑制肠道有害菌,达到抗腹泻的作用可能存在2种机制。

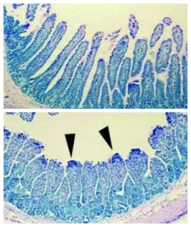
  ① 氧化锌可阻断病原菌附植于肠细胞。Poulsen(1989)在Caco-2肠细胞培养液中加入氧化锌,再用肠毒性大肠杆菌(ETEC)攻击Caco-2细胞,结果表明,添加氧化锌能够改善肠道通透性、减少附植在肠细胞上的ETEC数量。ValérieKromm等(2016)也到同样的结果(图3)。

氧化锌对大肠杆菌的影响图

图3 在有氧化锌(A)和没有氧化锌(B)的环境中大肠杆菌对回肠上皮的附着

  ② 氧化锌本身具有抗菌活性。Holm(1988)证实氧化锌能够抑制肠道有害菌。在模拟断奶仔猪胃(pH=4.6)和肠道(pH=6.5)的试验中,氧化锌能显著抑制大肠杆菌生长,并且这种效果与氧化锌比表面积有关(Berlin University,2011)(图4)Michiels等(2016)在给断奶仔猪饲喂高比表面积的氧化锌后,有效减少小肠中大肠杆菌和大肠杆菌群的数量。目前关于氧化锌的抑菌机理尚需进一步研究,但是可以肯定氧化锌抑制肠道有害菌群、改善仔猪肠道健康与其自身的表面积密切相关,从上述2种机制中可以发现,在氧化锌表面积增加后,提高了氧化锌与肠道和肠道微生物的接触几率,从而增加了氧化锌的抗菌活性。由此可见,想要更加合理使用氧化锌,改善高剂量氧化锌添加的传统方式,关键在于增大氧化锌的比表面积。

j9官网多孔氧化锌对大肠杆菌的抑制作用图

图4 多孔氧化锌对肠道大肠杆菌生长抑制作用

  3、总结

  在提倡健康养殖的背景下,降低仔猪日粮中的抗生素和药用剂量的氧化锌的使用势在必行。过量添加和长时间使用氧化锌可能会带来短暂的利益,但是绝对不利于企业自身和畜牧行业的长远发展。在这种情况下可以选择使用多孔氧化锌,以一种预防的方式来改善断奶仔猪肠道健康,降低腹泻发生率。

技术指标

  4、多孔氧化锌内控指标 

  比重:0.6-0.8,易均匀混合,不抱团、不分级。

  企业标准:四川隆达畜牧科技有限公司(Q/79182523–5.22—2014)

  5、多孔氧化锌的优势

  ·稳定性好,流动性好;

  ·比表面积大,生物利用率高;

  ·重金属含量低;

  ·安全性好,与普通氧化锌日粮相比,多孔氧化锌利用效率高;

  ·使用剂量少,排出量少,对环境的污染和动物新陈代谢如皮毛粗糙、皮肤惨白,结痂等影响相对较小。

  6、多孔氧化锌的应用

  6.1抗菌实验

氧化锌抗菌数据图

有机微量元素厂家j9官网多孔氧化锌发明专利证书

  实验目的:评估多孔氧化锌抗腹泻的适宜添加量,用于替代普通氧化锌。

  实验动物:28日龄断奶仔猪,共160头。

  实验日粮:三种日粮(7-21日龄:教槽;21-28日龄:预食断奶日粮;28-42日龄:实验日粮)。

  实验周期:2周。

  实验结果:

试验数据表

  实验结论:

  ·以末重看,实验B组(1.0kg多孔氧化锌)与正对照无显著差异,最优组为实验E/F组。

  ·以28-35日龄日增重看,实验D(2.0kg多孔氧化锌)组明显优于正对照组,显著差异;实验D/E/F最优,且各组无显著差异。

  ·以35-42日龄日增重看,实验C(1.5kg多孔氧化锌)组与正对照无显著差役,但各组中实验D/E/F组效果与正对照显著差异。

  ·除负对照组、实验A组外,其它组全程平均采食量无显著差异。

  ·以料肉比看,实验D/E/F组明显优于正对照(差异显著),且各组无显著差异。

  结论:

  本实验在攻毒条件下完成,能较好的体现实际生产中的情况。本实验证明多孔氧化锌在降低添加量的情况下,可完全替代普通氧化锌,不影响乳仔。

j9官网多孔氧化锌

【本文标签】 j9官网 有机微量元素 氧化锌

【责任编辑】

最新资讯

sitemap地图